With its medical image and information management solution, featuring the latest technology, ZeTTA PACS offers diagnostic-quality images and a full package of study information over enterprise-wide hospital networks. Based on long experience and proven technology, ZeTTA PACS is designed to satisfy the requirements for speed and stability of all users.
Regardless of mass data and images, one can use a high-speed and stable solution without time-wasting through any delays and buffering, so it will help minimize waiting time and enable one to start reading right away. It also provides full coverage of image management tools including image acquisition, storage, displays and web distribution devices.

ZeTTA PACS is a powerful PACS and reporting solution, yet cost-effective. It enables any healthcare practice to efficiently perform diagnostic imaging, while providing end-users with access to the system anytime, anywhere.
With ZeTTA PACS, patient studies can be viewed from any computer at any of your hospital or from a referring doctor’s office, and it also allows radiologists to read studies at any of your hospital, so it makes radiology workflow much more efficient and greatly reduces turnaround time for report dictation.
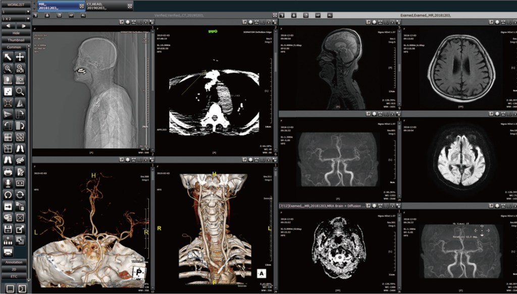
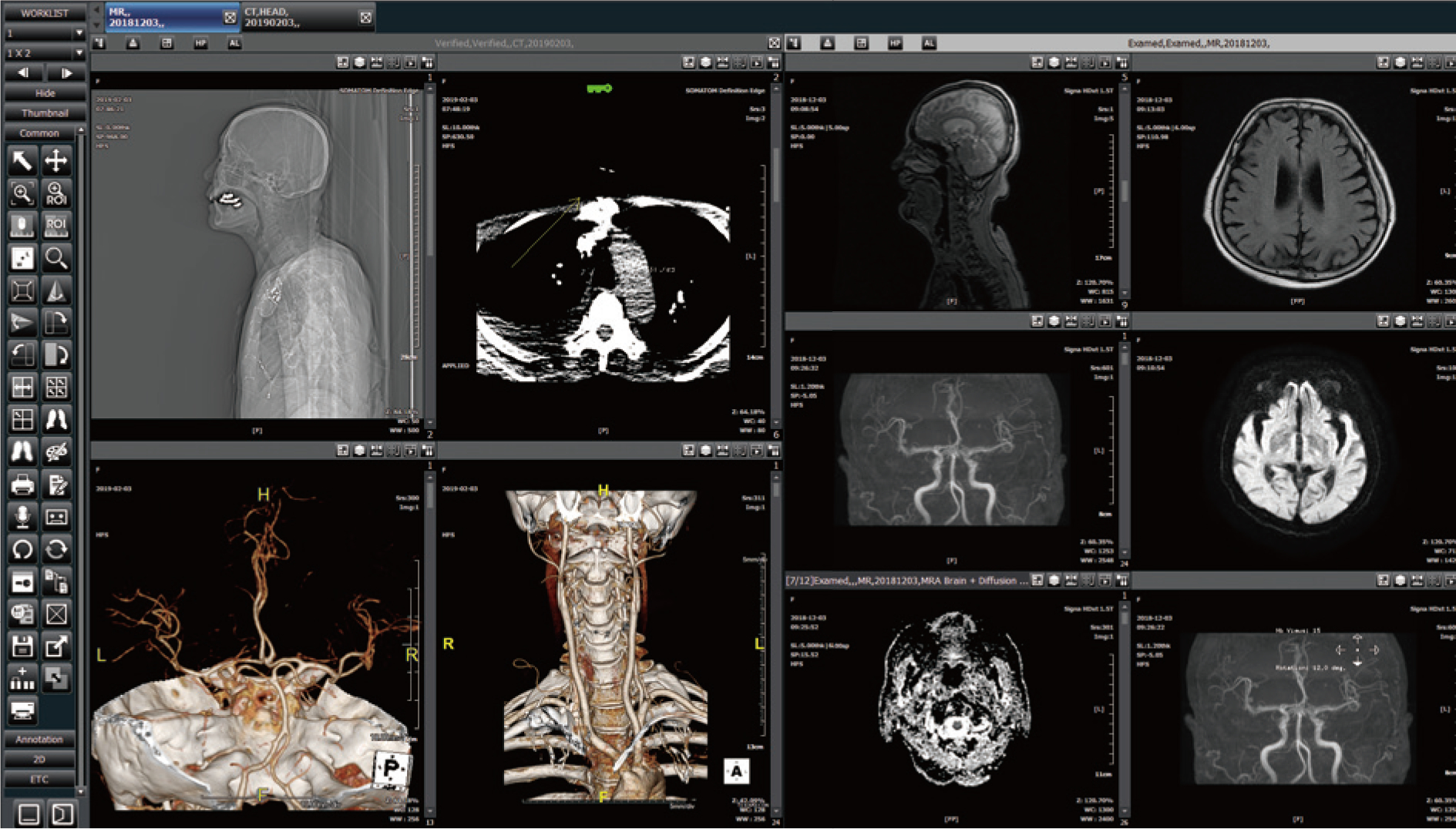
TaeYoung Soft’s web-based technology is one of the most competitive, reliable, and scalable imaging solutions on the market today. With proven architecture and productivity-enhancing technologies, ZeTTA PACS provides unbeatable value such as intuitive, customizable, and personalized tools & layout, and efficient & various display methods (View, Add view, Stack view, Advanced view, etc.).
Medical Image Viewing Application (ZeTTA Web & Mobile Viewer)
Moreover, the ZeTTA web & mobile viewer is a medical image viewing application with access to a central DICOM server that runs on mobile devices such as iPhone, iPad or Android OS embedded smartphone / tablet. Of special note, because the ZeTTA mobile viewer is developed by HTML5, it can be used at any OS such as i-OS and Android. It supports such functions as windowing, zooming, panning, measurement, cine play, and report viewing.

korean-electronics.com | Blog Magazine of korean electronics, brands and Goods















