[INQ. NO. 1909E53] The latest technology embedded medical image and information management solution, ZeTTA PACS, offers market demanding diagnostic-quality images and a full package of study information over enterprise-wide hospital networks.
Based on sufficient experience and proven technology, ZeTTA PACS is designed to satisfy the requirements for speed and stability of all users.
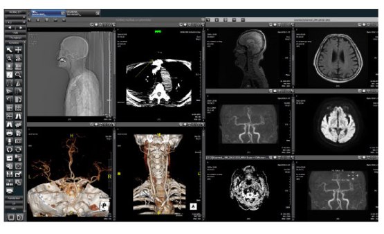
Regardless of the volume of data and the number of images, users can use a high speed and a stable solution without any delaying and buffering time, so it will help minimize waiting times and enables one to start reading right away. It also provides a full coverage of image management tools including image acquisition, storage, displays and web distribution devices.

Its ZeTTA PACS is a powerful PACS and reporting solution, yet cost effective. It enables any healthcare practice to efficiently perform diagnostic imaging, while providing end-users access to the system anytime, anywhere.
With ZeTTA PACS, patient studies can be viewed from any computer at any hospital, or from a referring doctor’s office. ZeTTA PACS also allows the radiologists to read studies at any hospital, so it makes radiology workflow much more efficient and greatly reducing turnaround time for report dictation. ZeTTA PACS offers improved radiology workflow.

TY soft’s web-based technology is one of the most competitive, reliable, and scalable imaging solutions on the market today. With proven architecture and productivity-enhancing technologies, ZeTTA PACS provide unbeatable value such as intuitive, customizable, and personalized tools & layout, and efficient & various display methods (View, Add view, Stack view, Advanced view, etc.).
Moreover, ZeTTA Web & Mobile Viewer is a medical image viewing application with access to a central DICOM server that runs on mobile devices such as iPhone, iPad or Android OS embedded smartphones / tablets.
Especially, because ZeTTA mobile viewer is developed by HTML5, it can be used with any OS such as i-OS and Android. It supports such functions as windowing, zooming, panning, measurement, cine play, and report viewing.
korean-electronics.com | Blog Magazine of korean electronics, brands and Goods



Leave a comment