[INQ. NO. 2408E10] Waycen is an AI meditech specialized company. It was founded in 2019 and is developing medical AI software essential for the healthcare industry based on collaborative research with medical institutions.
Waycen possesses proprietary technology in artificial intelligence-based real-time image analysis and medical big data analysis. Building upon this, it has developed innovative medical AI software and achieved a remarkable feat by winning four CES Innovation Awards at CES 2023, the world’s largest IT exhibition, making Waycen the first medical AI company to do so.
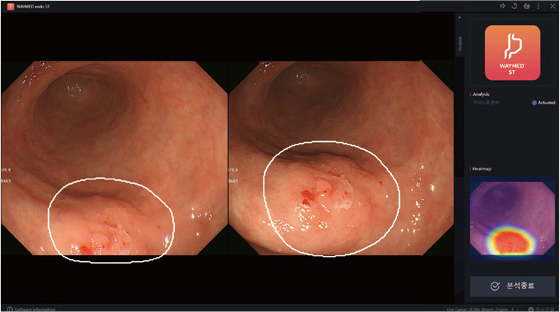
AI-powered medical software for stomach and colon abnormalities
WAYMED Endo is AI-powered medical software that analyzes endoscopic images in real-time to detect abnormalities in the stomach and colon, and examines the characteristics of these abnormalities. It can seamlessly integrate with existing endoscopy equipment from various manufacturers, without disrupting the conventional endoscopy workflow, thus making it highly preferred by endoscopy practitioners.

Winning the Innovation Award at recent CES for two consecutive years
Recognized for its innovative capability to detect abnormal lesions in real-time during endoscopy without delays, WAYMED Endo has won the Innovation Award at the world’s largest IT exhibition, CES, for two consecutive years.
In South Korea, it has obtained Class-3 clearance for stomach applications and Class-2 clearance for colon applications. Recently, it has been designated as the 37th innovative medical device by the Korean Food and Drug Administration, especially for its groundbreaking early detection of stomach cancer.

Growing its brand awareness, especially for Southeast Asian markets
Internationally, the product has been installed at Saint Paul Hospital in Hanoi, Vietnam, with plans to expand its reference hospitals to Hanoi and Ho Chi Minh City later this year. It is currently installed in hospitals in Cambodia and Thailand, where the incidence of stomach and colon cancer is relatively high, generating significant interest in this innovative solution throughout Southeast Asia.


korean-electronics.com | Blog Magazine of korean electronics, brands and Goods




Leave a comment