Distal Radius Plates

https://korean-electronics.com//inquiry

[INQ. NO. 2112M25] TDM is a Korean medical implant manufacturer that exports to various countries around the world. The key to TDM’s growth is to stick to the basics and offer a variety of options. Therefore, with TDM, doctors can provide customized products and services to patients and satisfy their needs.
The company’s success is the result of its timely responses to various requirements of doctors, hospitals, and distributors for over a decade, and continuous communication with its clients about products and services.
NewColle was developed by collecting feedback from doctors and patients on existing products. Doctors wanted to design for accurate reconstruction and keep the anatomical shape for the healing period, while patients wanted to minimize discomfort during treatment. Thus, TDM’s R&D introduced products that would be extremely thin, structurally rigid as possible, and that can provide various procedures at the same time.

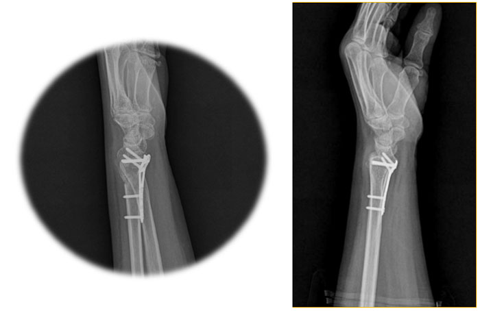
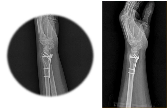
Distal Radius Plates


All NewColle plates are designed to fit the anatomical contours of the distal radius as much as possible. It has small, medium, and large sizes to fit the various sizes of the bones and has also various lengths to handle irregular fracture locations.
The long plate is also available as an option specification, up to eight holes. By setting the plate thickness to 1.5 mm, irritation of soft tissue was minimized.

Distal Radius Plates


The screw insertion angle can be up to 15 degrees from the center to both sides, so the fixed angle range is 30 degrees. TDM’s goal is to become one of the leading global medical device manufacturers, and it is ceaselessly moving toward achieving this goal.
TDM is actively exporting to more than 15 international partners and continues to increase the number of partners.

Distal Radius Plates


korean-electronics.com | Blog Magazine of korean electronics, brands and Goods